• 网站首页
  • 医院概况
    医院介绍
    荣誉窗
    医院文化
    地理位置
  • 科室介绍
    非手术科室
    手术科室
    诊断相关科室
    其他科室
  • 专家推荐
    外科专家
    内科专家
    五妇儿专家
    医技专家
    首席专家
    特色门诊专家
    返聘专家
  • 就医指南
    急救指南
    门诊指南
    检查指南
    住院指南
    医保专区
    医院交通
    便民服务
  • 先进设备
  • 新闻动态
  • 医院图库
    环境展示
    技术练兵
    工作瞬间
    文化生活
    历史回眸
    电子院报
  • 视频中心
  • 住培专栏
    住培基地介绍
    住培政策与落实
    住培动态
网站导航
  • 党团建设
  • 信息通知
  • 学术交流
  • 药学专栏
  • 医保专区
  • 职工文化
  • 医院图库
  • 健康百科
  • 视频中心
学术交流
  • 您所在的位置:
  • 网站首页
  • 学术交流

“隐匿的杀手”慢性丙型病毒性肝炎

近年来,被发现的丙型病毒性肝炎患者数量越来越多,国家越来越重视对其的筛查与治疗。作为一种90年代后被大家新认识的传染性疾病,丙型肝炎隐匿性高,初期症状不明显,很多患者发现时已经发展为肝硬化失代偿期,而此时为时已晚,已不能行有效抗病毒治疗,而...

  • 发布 2013-12-13 10:27
  • 浏览 6583

多巴胺受体激动剂——帕金森病患者的新希望

帕金森病(ParkinsondiseasePD)是中老年常见的神经系统变性疾病,传统用药强调复方左旋多巴替代治疗,但在神经内科临床工作中常见到帕金森病患者复方左旋多巴类药物疗效随着治疗时间延长逐渐减退,症状重新加重,不良反应日益明显,相同剂...

  • 发布 2013-12-13 10:26
  • 浏览 9128

手背逆行筋膜蒂岛状皮瓣修复手指组织缺损

手是人类重要的劳动器官,也是受伤机会比较多的器官,手指背皮肤缺损伴肌腱、骨外露在临床上比较常见,因为手指本身组织较少,一旦出现缺损,很难利用周围组织进行修复,在工作中我们也常听患者或家属说把手指安插在肚皮里或对侧的胳膊里的说法,这些方法确有...

  • 发布 2013-09-30 10:25
  • 浏览 9301

无需忍痛 无痛人生——肿瘤内科病房创建癌痛规范化治疗示范病房侧记

如果说癌症是威胁人类健康的“头号杀手”,那么疼痛就是这个杀手最常用的利器。据统计初诊癌症患者疼痛发生率约为25%,晚期癌症患者的疼痛发生率约为60—80%,其中1/3患者为重度疼痛。癌症疼痛(以下简称癌痛)如果得不到缓解,会严重影响患者的生...

  • 发布 2013-09-30 10:25
  • 浏览 6979

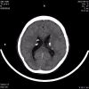
与影像诊断书中一模一样的典型病例

下列一组病例是我院CT、MR检查的一个15岁男孩的头部CTMR和肾脏CT及其母亲的头部MR检查图片。男孩面部有多发斑块,癫痫、智力障碍。其母亲有明显的面部血管瘤,智力障碍。现给大家提供这一典型结节性硬化的病例供大家参考学习。15岁男孩CT扫...

  • 发布 2013-09-02 10:23
  • 浏览 7245

内镜中心成功为患者实施内镜下异物取出术

近日,在消化内科、内镜中心的共同努力下,医护人员为一男性患者成功实施了内镜下异物取出术,而该患吞服的异物特别令人匪夷所思——竟是一只打火机。6月5日,因为情绪抑郁妄图自杀的李某在家中吞服了打火机,家人发现后紧急拨打了我院急救电话120。急诊...

  • 发布 2013-09-02 10:22
  • 浏览 7552

神经外科成功切除巨大腰部神经鞘瘤——从“脑外”到“神外”的飞跃

图1图1图2今年三月,神经外科收治了一位58岁的男性患者,患者以腰部不适1个月为主诉入院;查体无阳性体征。腰部MRI增强扫描示:一约8.0*5.0厘米大肿物,从腰2、3长出(图1)。入院后完善各项检查,考虑为腰部巨大神经鞘瘤。康凯主任组织全...

  • 发布 2013-09-02 10:21
  • 浏览 7113

女性宫颈疾病的克星——LEEP刀

尽管医学日渐发达,但防患于未然仍然是对抗疾病的最有效方法,女性更应加强自我关注,重视妇科疾病的前期征兆。目前,国内外均已普遍开展宫颈脱落细胞学筛查,按相关标准,建议有夫妻生活的女性18周岁以后每年做一次宫颈防癌涂片检查,及早发现宫颈病变,及...

  • 发布 2013-05-03 10:20
  • 浏览 7624

不堪忍受之“痛”——泌尿系结石

“医生,我刚才做家务,突然腰就疼起来了——”,“这是泌尿外科吗?大夫,我排尿时小腹疼,有时还有血尿——”……在泌尿外科门诊或病房,我们经常能遇到以上情况的患者来看病,医生的第一反应便是——泌尿系结石。泌尿系结石是泌尿系的常见疾病,以肾与输尿...

  • 发布 2013-05-03 10:19
  • 浏览 6864

如何预防H7N9禽流感?

最近,人禽流感H7N9成了大家最为关注的事件,“备战”人禽流感是近期我院感染病房发热门诊的一项重要任务,省、市及院内相关领导高度重视,先后多次来发热门诊检查H7N9相关工作,现将人禽流感H7N9知识介绍如下:一、什么是H7N9禽流感病毒?流...

  • 发布 2013-05-03 10:19
  • 浏览 6365
共 234 条
  • 1
  • 2
  • 14
  • 15
  • 16
  • 23
  • 24
前往
页

版权所有:铁岭市中心医院

地址:辽宁省铁岭市银州区光荣街南段55号

ICP备案:辽ICP备09014332号-1

辽公网安备:21120202000050号 网站制作:大友科技

铁岭市中心医院违法和不良信息举报电话:024-72213309